放射检查中的身体姿势_重庆医科大学附属康复医院
今天 2026年03月25日 星期三 24小时服务中心 : 023-68823284(大公馆院区)023-89869777(大渡口院区)
健康科普
您现在的位置:医院首页 > 医疗服务 > 健康科普 >

放射检查中的身体姿势

发布时间:2019-11-18 浏览次数:4161

平时大家自己在拍照的时候,可以随意的摆姿势、做造型、带装饰物。因为放射性的检查是一种对人体有危害的检查手段,所以在做放射检查的时候一般会尽可能的显示病变的同时减少检查次数,一般主要会在正位、侧位、斜位中选择体位。姿势就不能任大家随意摆。

放射检查的体位是以人体解剖学姿势作为依据的。

简单的来说,正位姿势就是标准的解剖学姿势,侧位就是整体转90度。

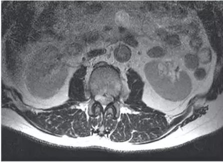
 CT、MRI检查的后的图片一般会有水平面、冠状面、矢状面。简单的说,水平面也叫横断面,它与地面平行,是将人体分为上、下两部分的切面。下图是腰椎的一个MRI的横断面图。

冠状面,它是人体分为前、后两部分的切面。下图是腰椎的一个MRI的冠状面图。

矢状面是将人体分为左、右两部分的切面。下图是腰椎的一个MRI的矢状面图。

    平时放射检查基本都是用基本的检查体位来给大家检查。只有姿势正确了,检查得出的图片才能正确的显示病变。所以大家要尽量配合医生用正确的姿势做检查,而对于配合能力差的病人,可以由家属来帮助他们摆体位或者使用镇静药物。